В Удмуртии нейрохирурги спасли пациенту лобную кость
- 22:00 22 января
- Вячеслав Мискевич

В Ижевске врачи провели уникальную операцию. Они удалили опухоль, которую сначала приняли за последствие простой бытовой травмы. Об этом случае рассказали в региональном Минздраве.
Всё началось с визита мужчины в седьмую городскую больницу. Пациент обратился к медикам после того, как три недели не проходила шишка на лбу. Она появилась после удара и со временем даже немного увеличилась в размерах.
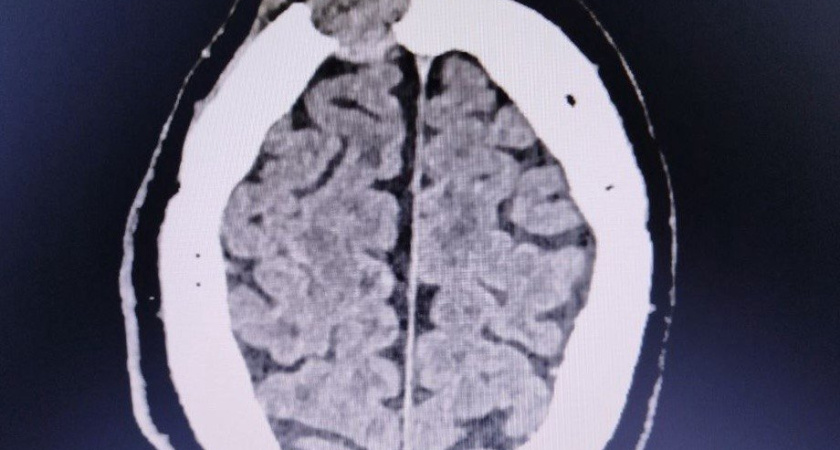
Для точной диагностики врачи провели компьютерную томографию. Результаты оказались неожиданными: на месте шишки обнаружилась опухоль, которая уже начала разрушать лобную кость. Пациента немедленно направили в нейрохирургическое отделение.
Перед хирургами стояла сложнейшая задача. Опухоль располагалась в крайне опасной зоне. Один её край находился прямо над крупнейшей веной головного мозга, что грозило серьёзным кровотечением. Другой край повредил стенки лобных пазух.
Образование фактически создало опасный канал между полостью черепа, носом и внешней средой. Такое состояние могло привести к тяжёлым гнойным осложнениям, например, менингиту.
Нейрохирурги провели многоэтапную операцию. Им удалось полностью удалить опухоль, при этом сохранив все жизненно важные сосуды. Следующим шагом стала тщательная очистка поражённых лобных пазух.
Чтобы надёжно изолировать полость черепа, хирурги перекрыли сообщение с носовыми пазухами. Для этого использовали собственные ткани пациента, взятые с бедра. Целостность лобной кости восстановили с помощью титановой пластины.
Сейчас пациент уже выписан из больницы. Его состояние врачи оценивают как стабильное и удовлетворительное. Наблюдение показывает, что послеоперационный период протекает хорошо, без каких-либо осложнений.
Этот случай — важный пример того, почему нельзя игнорировать необычные симптомы. Если шишка после удара долго не проходит или увеличивается, это прямой сигнал для немедленного обращения к врачу и проведения тщательного обследования.
Напомним, ранее мы сообщали, что в Удмуртии утвердили мастер-план развития Глазова.